Springe auf Hauptinhalt Springe auf Hauptmenü Springe auf SiteSearch

Kasuistik: Asbestpleuritis

Einleitung

Die Exposition mit Asbestfaserstaub kann mit einer zeitlichen Latenz von Jahren bis Jahrzehnten zu unterschiedlichen Erkrankungen der Lunge und Pleura führen. In der Berufskrankheiten-Verordnung (BKV) werden in der Anlage 1 unter der Ziffer 4103 Asbestosen oder durch Asbeststaub verursachte Erkrankungen der Pleura gelistet. Im Jahre 2015 wurden in der Bundesrepublik Deutschland 3712 Verdachtsanzeigen gestellt. Damit standen die Asbestose bzw. durch Asbeststaub der Pleura verursachte Erkrankungen auf Platz 6 der angezeigten Berufskrankheiten (BAuA 2015, s. „Weitere Infos“). Mit 2002 anerkannten Fällen lag die BK 4103 auf Platz 3 (BAuA 2015) der anerkannten Berufskrankheiten im Jahre 2015. Jährlich schwanken die Anerkennungszahlen der BK 4103 seit 1995 um die 2000 Fälle (BAuA 2015).

Pleuraergüsse können vielfältige Ursachen haben. Dazu gehören u.a. Tuberkulose-Infektion, Herzinsuffizienz, Entzündungen, Tumoren oder Traumata. Nach Ausschluss anderer Ursachen kommt jedoch auch eine Asbestexposition als Verursacher eines Ergusses in Frage (Falkensteiner Empfehlungen, DGUV 2011, S. „Weitere Infos“). Diese wird auch als Asbestpleuritis bezeichnet.

Im Rahmen der gewerbeärztlichen Mitwirkung an BK-Verfahren nach § 4 BKV beteiligte sich der Gewerbearzt Schleswig-Holstein an folgendem Fall, der hier vorgestellt werden soll:

Anamnese

Seit Herbst 2016 litt ein 74-jähriger männlicher Versicherter an chronischem Husten. Eine Vorerkrankung der Atemwege war nicht bekannt. Anamnestisch bestanden eine arterielle Hypertonie, eine absolute Arrhythmie, eine Arthritis urica, der Z.n. Operation eines offenen Foramen ovale und eine rheumatoide Arthritis. Es bestand ein Nikotinabusus von ca. 15–20 Pack Years bis 1991.

Beruflich war der Mann von 1962–1973 als Bauschlosser einer Werft gegenüber Asbeststaub exponiert.

Befunde und Therapie

Im Rahmen der Abklärung des chronischen Hustens wurde im Januar 2017 beim Pneumologen eine Röntgen-Untersuchung des Thorax in zwei Ebenen angefertigt. Dabei zeigte sich im p.-a.-Bild in Projektion auf die linke Thoraxwand eine große, in die Lunge hineinragende, gekammerte Raumforderung (  Abb. 1a ). Der linke phrenicocostale Winkel war verklebt. Die rechte Zwerchfellkuppe war nicht glatt begrenzt. Die Lungenhili kamen deutlich vergrößert zur Darstellung. Das Mediastinum war leicht nach links verlagert. Rechtsseitig zeigten sich Kerley-B-Linien. Sternal lagen Cerclagen bei Z.n. Sternotomie. In der seitlichen Aufnahme waren deutliche Pleuraverkalkungen im Bereich der Zwerchfellkuppe erkennbar (  Abb. 1b ).

Die am gleichen Tag durchgeführte Lungenfunktion lag noch im normalen Bereich (  Abb. 2 ). Vitalkapazität und forcierte Einsekundenkapazität waren leicht eingeschränkt. Die Fluss-Volumen-Kurve war durch einen kurzen Hustenstoß zwar unterbrochen, in ihrem sonstigen Verlauf aber unauffällig. Anzeichen einer Obstruktion lagen nicht vor.

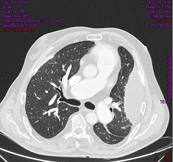
Im kurz darauf angefertigten Computertomogramm des Thorax zeigten sich massive pleurale Verkalkungen, die teilweise tafelbergartig konfiguriert waren (  Abb. 3 und 4 ). Die Plaques fanden sich lateral auf beiden Thoraxseiten, paravertebral rechts mit krähenfußartigen Ausziehungen sowie an typischer Stelle auf der Zwerchfellkuppe. Links lateral war eine breitflächig gekammerte pleurale Flüssigkeitsansammlung zu sehen. Im nach links verlagerten Mediastinum zeigten sich ein schmaler Mediastinalerguss rechts, eine Aufweitung der Arteria pulmonalis sowie eine Kaudalverlagerung des linken Pulmonalissegments. Der rechte Vorhof war vergrößert. Nebenbefundlich fiel ein Gallenblasenkonkrement auf.

In der Sonographie des linksseitigen Thorax stellte sich die Raumforderung als schmalovale liquide Formation zwischen Lungen- und Thoraxwand dar, die durch eine feste Kapsel abgeschlossen war (Größe ca. 14 × 3,8 cm).

Anschließend erfolgte die Punktion der Flüssigkeit. Die mikrobiologische Untersuchung des Punktats ergab keinen Nachweis von Bakterien oder Granulozyten im Grampräparat. Aerobe oder anaerobe Bakterien ließen sich kulturell nicht nachweisen.

In der pathologischen Begutachtung zeigte sich ein blutig tingiertes und eingedickt wirkendes Pleurapunktat mit nur spärlichem Nachweis von neutrophilen Granulozyten ohne Hinweis für eine floride Entzündung. Kein Anhalt für Malignität.

Zwei Monate später wurde die ehemalige Punktionsstelle am linken Thorax sonographisch kontrolliert. Es wurde erneut eine Flüssigkeitsansammlung im Pleuraspalt in einer Größe von 12,5 × 3,8 cm festgestellt (  Abb. 5 ).

Eine weitere radiologische Kontrolle des Thorax im August zeigte linksseitig eine Verschwartung (  Abb. 6 ).

Diskussion

Im Jahr 1970 beschrieb Gaensler erstmals das Auftreten eines benignen Pleuraergusses nach Asbestexposition und nach Ausschluss anderer Ursachen des Ergusses. Diese auch „Gaensler-Pleuritis“ oder „Asbestpleuritis“ genannte Erkrankung ist gekennzeichnet durch „rezidivierende, unspezifische, fibrinreiche Pleuraergüsse nahezu ohne Entzündungszellen mit der möglichen Entwicklung relativ charakteristischer, so genannter Rundatelektasen des Lungengewebes. Das histomorphologische Bild der Asbestpleuritis ist in der Regel uncharakteristisch“ (Müller 1996). Exakte epidemiologische Daten über Inzidenz und Prävalenz der Asbestpleuritis liegen nicht vor (Konietzko 1992). Die durchschnittliche Latenzzeit wird mit 30 Jahren beschrieben (Schwankung von 1–51 Jahren). Das mittlere Erkrankungsalter liegt bei 48 Jahren, schwankend zwischen 23 und 76 Jahren.

In dem vorliegenden Fall wurden mit einer Latenz von 44 Jahren nach letzter beruflicher Asbestexposition erstmalig als Zufallsbefund Veränderungen der Pleura festgestellt. Aufgrund der Röntgendiagnostik konnten Verkalkungen und ein Erguss nachgewiesen werden. Darüber hinaus waren beginnende Veränderungen des Lungengerüsts erkennbar. Durch die Punktion des Ergusses konnten die bestehende Herzerkrankung und die rheumatische Arthritis als Ursachen ausgeschlossen werden. Ebenfalls wurde ein Mesotheliom ausgeschlossen. Somit ist eine Asbestpleuritis bei benignem Pleuraerguss wahrscheinlich. Zudem zeigte sich in der Verlaufskontrolle das erneute Auftreten des Ergusses. Die Lungenfunktionsdiagnostik, die bei vorhandenem Erguss durchgeführt wurde, ergab gemäß Leitlinie Spirometrie (2015, s. „Weitere Infos“) noch einen Normalbefund, so dass derzeit kein Therapiebedarf bestand.

Mögliche Folgen der Asbestpleuritis sind eine progrediente Verschwartung bis zum Vollbild einer Hyalinosis complicata und Rundatelektasen (Falkensteiner Empfehlungen, DGUV 2011, S. „Weitere Infos“). Auch die Entwicklung eines Mesothelioms ist möglich. Eine Verlaufskontrolle ist daher angezeigt.

Fazit

Bei uncharakteristischen Pleuraergüssen ohne erkennbare Ursachen an eine möglicherweise asbestbedingte Erkrankung denken!

Literatur

Berufskrankheiten-Verordnung (BKV) vom 31. Oktober 1997 (BGBl. I S. 2623), in der Fassung vom 10. Juli 2017 (BGBl. I S. 2299).

Gaensler EA: Idiopathic pleural effusion. N Engl J Med 1970; 8: 816–817.

Konietzko N, Teschler H: Asbest und Lunge. Heidelberg: Steinkopff-, 1992.

Müller K-M, Krismann M: Asbestassoziierte Erkrankungen: Pathologisch-anatomische Befunde und versicherungsmedizinische Aspekte. Dtsch Ärztebl 1996; 93: A-538–543.

Quellenverzeichnis der Abbildungen: Abb. 1 bis 4 und 6: Dr. Schwarting, 24105 Kiel. Das Einverständnis zur Veröffentlichung liegt den Autoren vor; Abb. 5: UKSH Campus Kiel, Klinik für Innere Medizin I, 24105 Kiel. Das Einverständnis zur Veröffentlichung liegt den Autoren vor.

Interessenkonflikt: Beide Autoren geben an, dass kein Interessenkonflikt vorliegt.

Weitere Infos

AWMF-Leitlinie 020-017: Spirometrie. 2015

www.awmf.org/leitlinien/detail/ll/020-017.html

Bundesanstalt für Arbeitsschutz und Arbeitsmedizin (BAUA): Sicherheit und Gesundheit bei der Arbeit (Suga) 2015 – Unfallverhütungsbericht Arbeit. BAUA, 2016

https://www.baua.de/DE/Angebote/Publikationen/Berichte/Suga-2015.pdf?__blob=publicationFile&v=5

Deutsche Gesetzliche Unfallversicherung (DGUV) und Spitzenverband der landwirtschaftlichen Sozialversicherung: Empfehlung für die Begutachtung asbestbedingter Berufskrankheiten – Falkensteiner Empfehlungen.DGUV 2011

publikationen.dguv.de/dguv/pdf/10002/falkensteinerempfehlung.pdf

Für die Autoren

Dr. med. Thomas Nauert

Ministerium für Soziales, Gesundheit, Jugend, Familie und Senioren

Adolf-Westphal-Str. 4

24143 Kiel

Thomas.Nauert@sozmi.landsh.de

Jetzt weiterlesen und profitieren.

+ ASU E-Paper-Ausgabe – jeden Monat neu
+ Kostenfreien Zugang zu unserem Online-Archiv
+ Exklusive Webinare zum Vorzugspreis

Premium Mitgliedschaft

2 Monate kostenlos testen