Springe auf Hauptinhalt Springe auf Hauptmenü Springe auf SiteSearch

Mit Künstlicher Intelligenz dem Brustkrebs auf der Spur

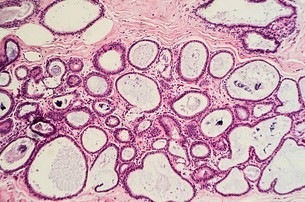
Endokrine Disruptoren (EDs) sind hormonartig wirkende Substanzen, die unerwünschte Folgen für die Gesundheit haben können. So können Chemikalien das Brustkrebsrisiko erhöhen, wenn sie ähnlich wie das weibliche Geschlechtshormon Östrogen wirken. Um hormonelle Effekte von chemischen Stoffen aufzuspüren, sind bislang noch Tierversuche vorgeschrieben. Am Deutschen Zentrum zum Schutz von Versuchstieren (Bf3R) ist nun ein Test entwickelt worden, der Hormonwirkungen an gezüchteten menschlichen Zellen testet. Das Zentrum ist Teil des Bundesinstituts für Risikobewertung (BfR). Mit Hilfe der Mikroskopie und künstlicher Intelligenz findet der „E-Morph“-Test zuverlässig Substanzen, die östrogenartige oder sogar gegenteilige Effekte haben können, wie das Forscherteam im Fachblatt „Environment International“ berichtet. „E-Morph ist ein Meilenstein, um die bislang erforderlichen Tierversuche zum Nachweis hormonartiger Effekte eines Tages ersetzen zu können“, sagt BfR-Präsident Prof. Dr. Dr. Andreas Hensel.

Link zur Fachpublikation (ScienceDirect)
https://www.sciencedirect.com/science/article/pii/S0160412021000350

Link zu einem Beitrag im BfR2GO, dem BfR-Wissenschaftsmagazin:
https://www.bfr.bund.de/cm/429/16_verraeterische_blasen.pdf

Der Test basiert auf der Beobachtung, dass östrogenartig wirkende Substanzen die Verbindung von Zellen der Brustdrüse lockern können. Dadurch können Brustkrebszellen sich leichter aus dem Gewebe lösen - ein entscheidender Schritt beim Streuen (Metastasierung) von Tumoren. Beim E-Morph-Test wird auf gezüchtete menschliche Brustkrebszellen eine Prüfsubstanz gegeben. Dann wird untersucht, ob sich die Zellkontakte wie unter Östrogeneinfluss lockern. Dieser Effekt ist im Mikroskop leicht zu erkennen und durch künstliche Intelligenz vollautomatisiert auswertbar. Der robotergestützte Test samt Auswertung erfolgt rasch und ermöglicht das Überprüfen vieler Substanzen in kurzer Zeit. Zu den künftigen Anwendungsmöglichkeiten des Tests zählen neben der Prüfung von bereits vermarkteten Chemikalien auch jene, die vor der Markteinführung stehen. Der Test kann auch für das Entwickeln neuer Arzneimittel, das Verbessern diagnostischer Tests zum Nachweis von Brustkrebs sowie das Optimieren von Therapien genutzt werden.