Das PDF dient ausschließlich dem persönlichen Gebrauch! - Weitergehende Rechte bitte anfragen unter: nutzungsrechte@asu-arbeitsmedizin.com.
Bakers and asbestos?
Asbestos-related cancer is at the moment usually founded in lungs, pleura, larynx, peritoneum, ovary and Tunica vaginalis testis.For the recognition of malignant pleural mesothelioma as an occupational disease according to No. 4105 of the Occupational Diseases Ordinance (BKV) (Fig. 1), full proof of occupational asbestos exposure (causality) and the presence of the clinical picture—malignant pleural mesothelioma—are required (Fig. 2). Causality in Occupational Disease 4105 BKV is not linked to a dose measure. Due to the long latency period and the often low occupational asbestos exposure, full proof of causality is repeatedly difficult. Therefore, in occupational disease proceedings, meticulous detective work is often required to determine occupational asbestos exposure.
Bäcker und Asbest?
Als Zielorgane für asbestbedingte Krebserkrankungen gelten derzeit Lunge, Pleura, Kehlkopf, Peritoneum, Ovar und Tunica vaginalis testis. Zur Anerkennung eines malignen Pleuramesothelioms als Berufskrankheit (BK) nach Nr. 4105 der Berufskrankheitenverordnung (BKV) sind die berufliche Asbestexposition (Einwirkungskausalität) und das Vorliegen des Krankheitsbildes – malignes Pleuramesotheliom– im Vollbeweis erforderlich. Die Einwirkungskausalität bei der BK 4105 BKV ist nicht an ein Dosismaß gekoppelt. Aufgrund der langen Latenzzeit und der oft nur geringen beruflichen Asbestexposition bereitet der Vollbeweis der Einwirkungskausalität immer wieder Schwierigkeiten. Im Berufskrankheitenverfahren ist deshalb bei der Ermittlung der beruflichen Asbestexposition oft eine akribische Detektivarbeit erforderlich.
Kernaussagen
Hintergrund
Maligne Mesotheliome sind seltene bösartige Tumoren des Rippen-, Zwerch- beziehungsweise des Perikards und der Tunica vaginalis testis. In ca. 85 % der Fälle ist die Pleura betroffen (Stevenson et al. 2024). Die natürliche Inzidenz des malignen Mesothelioms wird auf 1–2 Fälle pro 1 Million Einwohner geschätzt (Kraus 2014).
Für die Induktion eines malignen Pleuramesothelioms reicht unter Umständen eine nur geringfügige Asbestbelastung aus, die nicht mit fibrosierenden Lungenveränderungen einhergehen muss (Kraus et al. 2020). Eine kurze Expositionszeit von im Einzelfall nur wenigen Tagen und Wochen, insbesondere gegenüber Krokydolith (Blauasbest) kann ausreichend sein, um ein malignes Mesotheliom zu verursachen. Das inhalative Zigarettenrauchen spielt keine ursächliche Rolle (Kraus 2014). Die übliche Hintergrundbelastung der Bevölkerung bezüglich Asbest liegt gemäß Bundesumweltamt derzeit bei ca. 100 Fasern/m³ Luft. Auf ein Leben von 80 Jahren bezogen errechnet sich daraus eine mittlere Gesamtbelastung von ca. 0,01 Faserjahren. Für das Mesotheliom kann statistisch eine Risikoerhöhung durch zusätzliche Asbestexpositionen über 0,1 Faserjahren gezeigt werden, dies entspricht einer lebenslangen Exposition gegenüber 1000 Fasern/m³ Luft (Lacourt et al. 2014).
80 % aller Mesotheliome werden heute weltweit auf eine stattgehabte berufliche Asbestexposition zurückgeführt. Auch Asbestexpositionen in der Umwelt können hinreichend sein, ein Mesotheliom zu verursachen. Es konnte gezeigt werden, dass Menschen, deren Wohnort sich in der Nähe von Asbestindustrien oder von asbesthaltigen geologischen Formationen befand oder die die kontaminierte Kleidung von Asbestarbeiterinnen und -arbeitern gewaschen haben, gleichfalls ein erhöhtes Erkrankungsrisiko hatten (Ferrante et al. 2007; Goldberg u. Luce 2009).
Die Latenzzeit zwischen Asbestexposition und Manifestation des malignen Mesothelioms beträgt durchschnittlich 30 Jahre. Die Behandlung des Pleuramesothelioms ist weiter sehr limitiert und die Überlebenszeit beträgt zwischen 12 und 36 Monaten (Hajj et al. 2021).
Zur Anerkennung eines malignen Pleuramesothelioms als Berufskrankheit (BK) nach Nr. 4105 der Berufskrankheitenverordnung (BKV)1 in Deutschland sind die berufliche Asbestexposition (Einwirkungskausalität) und das Vorliegen des Krankheitsbildes – Pleuramesotheliom – jeweils im Vollbeweis erforderlich. Die haftungsbegründende Kausalität muss mit hinreichender Wahrscheinlichkeit vorliegen (➥ Abb. 1).
 
 Foto: privat
Fallbericht
Anamnese
Ein 1940 geborener Versicherter hat von 1954 bis 1957 eine Konditorlehre in München absolviert. Danach war er von 1957 bis 1975 Geselle in einer Konditorei mit Café. Von 1976 bis zu seiner Altersrente 2000 hat er als Fachverkäufer für Sportschuhe und Skilehrer in einem großen Sportgeschäft in München gearbeitet.
Privat war er sportlich sehr aktiv: Triathlon mit Laufen, Schwimmen, Radfahren. Bis zu seiner Erkrankung spielte er noch Tennis und fuhr Ski. Zeitlebens hat er nie geraucht.
An Vorerkrankungen sind eine arterielle Hypertonie, eine traumatische Amaurosis links als Kind und ein Zustand nach Hüft-Totalandoprothese beiderseits bekannt.
Im Juni 2015 wurde bei ihm ein Prostatakarzinom diagnostiziert. Im Rahmen der Staging-Untersuchungen fanden sich im Computertomtogramm (CT) des Abdomens vom Juli 2015 im Bereich des partiell miterfassten kaudalen linken Hemithorax Hinweise auf einen tumorösen Prozess an der Thoraxwand und an der Pleura mit konsekutivem Pleuraerguss. Des Weiteren fand sich ein 34 mm großer Tumor zwischen der linksventralen Thoraxwand und dem Perikard, wobei es sich um eine Lymphknotenmetastase handeln könnte.
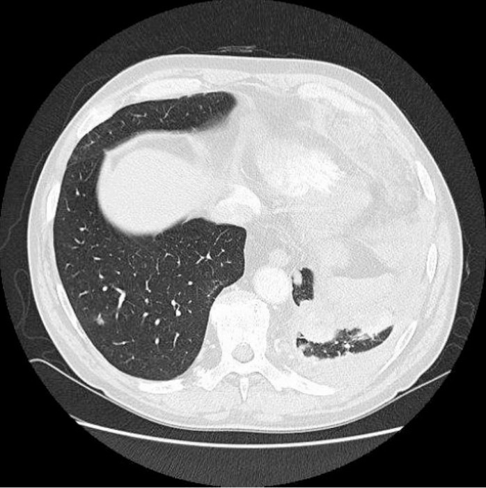
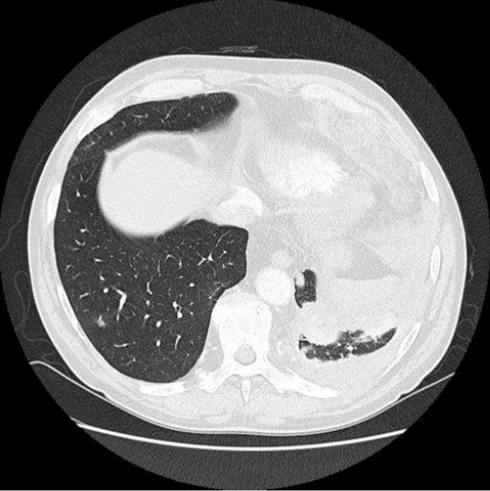
Das daraufhin veranlasste CT des Thorax zeigte kleinknotige Verdickungen an der Pleura und eine dorsal verbreiterte Pleura links, vereinbar mit Pleurakarzinose sowie weiterhin den Pleuraerguss linksseitig und die soliden Weichteilvermehrungen links dorsal mit Thoraxwandinfiltration und im ventralen Mediastinum, Differenzialdiagnose Weichteilmetastasen/Lymphknotenmetastasen (➥ Abb. 2).
Zur weiteren Diagnostik wurde eine Stanzbiopsie interkostal zwischen der 11. und 12. Rippe links durchgeführt. Die Histologie ergab ein malignes Pleuramesotheliom vom epitheloiden Typ.
Während des stationären Aufenthalts vom 19.08. bis 29.08.2015 in einer Lungenklinik erfolgte die videoassistierte Thorakoskopie (VATS) links mit lokaler Pleurektomie, Talkumpleurodese und Thoraxdrainage-Einlage. Histologisch wurde das maligne Mesotheliom der Pleura vom epitheloiden Typ (A) bestätigt.
In der Folgezeit von Oktober 2015 bis Oktober 2016 kam es zu einer stetigen Zunahme der pleuralen Tumorinfiltrationen. Es bildete sich ein Aszites aus.
Von November 2016 bis Januar 2017 erfolgten insgesamt vier Zyklen einer Chemotherapie mit Pemetrexed und Carboplatin. Unter dieser Therapie waren die pleuralen Gewebsformationen rückläufig. Der Pleuraerguss und der Aszites bestanden unverändert.
Der Versicherte klagte in der Folgezeit über eine zunehmende Appetitlosigkeit, eine allgemeine Schwäche sowie über Müdigkeit. Im September 2017 ist er an den Folgen des Pleuramesothelioms verstorben.
Berufskrankheitengeschehen
Bereits im Juli 2015 empfiehlt der Pathologe nach der Stanzbiopsie eine ärztliche Verdachtsanzeige auf eine Berufskrankheit nach Nr. 4105 BKV an die Berufsgenossenschaft zu erstatten.
Urologischerseits wurde im August 2015 auf eine Berufskrankheiten (BK)-Verdachtsanzeige verzichtet, da keine berufstypische Vorgeschichte mit Asbestexposition vorlag: Der Versicherte war 21 Jahre Konditor und danach Sportartikelverkäufer und Skilehrer.
Erst am 16.03.2016 wurde eine BK-Verdachtsanzeige 4105 BKV an die zuständige Berufsgenossenschaft (BG 1) für die Zeit als Sportartikelverkäufer und Skilehrer erstattet.
Der Präventionsdienst der Berufsgenossenschaft (BG 1) gab in seiner Stellungnahme im April 2016 an, dass bei Umbauarbeiten in dem Sportgeschäft in München keine Asbestexposition bestanden hat. Bezüglich der Asbestexposition während der Tätigkeit als Konditor erfolgte eine Anfrage bei dem für diese Zeit zuständigen Präventionsdienst der Berufsgenossenschaft (BG 2).
Der Präventionsdienst der Berufsgenossenschaft (BG 2) gab in seiner ersten Stellungnahme im Mai 2016 an, dass während der Konditortätigkeit von 1954 bis 1975 keine berufliche Asbestexposition vorlag. Der Backofen, den der Versicherte beschickte, war mit Schamottsteinen ausgekleidet und wurde mit günstigem Nachtstrom betrieben. Es befanden sich keine Asbestplatten im Inneren des Ofens. Der Versicherte verrichtete lediglich Reinigungsarbeiten von außen. Reinigungs- oder Wartungsarbeiten gehörten nicht zu seinem Aufgabenbereich. Ein Dichtungswechsel sei nicht erforderlich gewesen, da keine Wasserzuführung bestand.
Der staatliche Gewerbearzt bittet in seiner Stellungnahme im Juli 2016 um die Ermittlung der der kumulativen Asbestfaserdosis, da davon auszugehen sei, dass in älteren Backöfen und Nachtspeicheröfen noch Asbest enthalten war.
In der zweiten Stellungnahme der BG 2 wird angegeben, dass die Identifikation des Backofens nicht mehr möglich sei. Die Konditorei gibt es seit 01.01.1976 nicht mehr. Der Betreiber ist bereits verstorben. Es kann keine hinreichende Wahrscheinlichkeit eines dadurch bedingten Asbestkontakts festgestellt und damit auch keine kumulative Asbestfaserdosis berechnet werden.
Da der Backofen nicht mehr zu identifizieren ist, empfiehlt der Staatliche Gewerbearzt keine Anerkennung einer Berufskrankheit nach Nr. 4105 der BKV.
Die BG 1 erteilt am 15.09.2016 einen Ablehnungsbescheid mit der Begründung der Stellungnahme der BG 2. Dem Widerspruch des Versicherten gegen diesen Bescheid kann nicht abgeholfen werden. Am 27.02.2017 erhebt der Versicherte Klage vor dem Sozialgericht.
Die Richterin ordnet ein Ruhen des Verfahrens vom 05.04. bis 04.07.2017 an, da die Bevollmächtigten des Versicherten weitere Ermittlungen durchgeführt haben:
Im medizinischen Sachverständigengutachten für das Sozialgericht vom 21.09.2017 wird ausgeführt, dass ein Pleuramesotheliom im Vollbeweis vorliegt. Das Pleuramesotheliom stellt einen Signaltumor für eine stattgehabte Asbestexposition dar. Eine geringe zusätzliche, über die ubiquitäre Exposition hinausgehende weitere Exposition erhöht das Risiko für ein Pleuramesotheliom deutlich und signifikant. Strittig ist das Vorliegen einer beruflichen Asbestexposition.
Bei der gutachterlichen Untersuchung legte der Versicherte das Foto des Backofens vor. Die Gutachter fertigten eine 400fache Vergrößerung des Orginalfotos an und konnten so den Namen des Ofenherstellers ermitteln. Der Backofen wurde in den 1940er Jahren hergestellt. Seit 1960 gibt es die Ofenbaufirma nicht mehr. Die Nachfolgefirma hatte keinen Unterlagen mehr. Auf dem Foto war zu sehen, dass der Backofen eine Wasserzufuhr hatte. Nach den Angaben des Versicherten war die Wasserzufuhr für die Herstellung von Makronengebäck erforderlich.
Der Versicherte hatte 21 Jahre lang den Ofen sechsmal täglich bestückt und anschließend die Ofentür von innen gereinigt. Schon durch die normale Abnutzung der Ofendichtungen können bei jedem Öffnen und Schließen jeweils Asbestfasern freigesetzt werden. Die Dichtungsschnüre wurden regelmäßig vom Ofenhersteller ausgewechselt.
Regelungen zur Abgrenzung einer beruflichen Asbestexposition von einer nur ubiquitären Belastung bestehen nicht. Lediglich im Rahmen der Klärung der Zuständigkeit bei Berufskrankheiten wird bei der Ermittlung der Gefährdung festgelegt, dass eine Konzentration von weniger als 1000 Fasern/m3 als ubiquitäre Belastung gilt (DGUV 2013, s. Online-Quellen).
Im BK-Report „Faserjahre“ der DGUV (2013) wird im Anhang 8 aufgeführt, dass die Asbestexposition beim Betrieb von Backöfen in Backstuben mit asbesthaltigen Dichtungen unterhalb eines Werts von 5000 F/m3 liegt. Eine Zuordnung zu Expositionen unterhalb eines Werts von 5000 F/m3 bedeutet aber nicht, dass keine Exposition beziehungsweise eine Faserkonzentration nur im Bereich der ubiquitären Belastung vorliegt. Dies ist vor allem im Zusammenhang mit der Klärung der Zuständigkeit bei der BK-Ziffer 4105 von Bedeutung. Eine Faserkonzentration von 1000 F/m3 kann bei einigen der aufgelisteten Tätigkeiten und Situationen durchaus überschritten werden.
Weiter wird im BK-Report „Faserjahre“ (DGUV 2013) aufgeführt, dass es erstmals 1986 gelang, asbestfreie Dichtungen herzustellen.
Die medizinischen Gerichtssachverständigen empfahlen folgerichtig weitere Recherchen über die BG 2 (asbesthaltige Dichtungen, Reinigung des Inneren des Ofens, Wasserzufuhr, was einen Dichtungswechsel zu Folge hätte).
In der weiteren Stellungnahme des Präventionsdienstes der BG 2 wird daraufhin ausgeführt, dass kein Vollbeweis für eine asbesthaltige Türdichtung vorgelegen habe. Die Anknüpfungstatsachen seien vorhanden, aber nicht mit ausreichender Wahrscheinlichkeit. Es läge eine gewisse Wahrscheinlichkeit vor, dass eine asbesthaltige Backplatte während der langen Beschäftigungszeit defekt gewesen sei.
Es bestünde also eine Wahrscheinlichkeit, dass der Versicherte Umgang mit asbesthaltigen Gefahrstoffen hatte. Ob diese Wahrscheinlichkeit im Sinne von Anknüpfungstatsachen hinreichend sei, könne nicht beurteilt werden.
Im Berufskrankheitenrecht reicht eine Wahrscheinlichkeit der beruflichen Exposition nicht aus. Diese muss im Vollbeweis vorliegen (Kraus et al. 2011, s. Online-Quellen; Schönberger et al. 2017).
Sollten sich die Expositionsverhältnisse als unklar darstellen und die Sicherung einer versicherten beruflichen Asbestexposition im Vollbeweis erschwert sein, kann gegebenenfalls eine Berufskrankheit nach Nr. 4105 hinreichend wahrscheinlich sein, wenn
Das Sozialgericht stellte dementsprechend eine Anfrage an die medizinischen Sachverständigen, ob noch ein radiologisches und ein pathologisch-anatomisches Gutachten erforderlich seien. Die Gutachter befürworteten das.
Das fachradiologische Zusatzgutachten im November 2018 ergab spindelförmige Pleuraplaques links sowie flache Pleuraveränderungen mit strichförmigen Verkalkungen rechts, die mit einem sehr hohen Maß an Wahrscheinlichkeit Zeichen einer asbestbedingten Pleuraerkrankung sind.
Im fachpathologischen Zusatzgutachten im Februar 2019 wurde die Diagnose epitheloides Mesotheliom Kategorie A bestätigt. Alle bisherigen Ermittlungen legen eine tatsächliche Asbestgefährdung in der Backstube nahe. Der Argumentation der Klägerbevollmächtigten einer Asbestgefährdung in der Backstube, sei somit zu folgen.
In der Zwischenzeit wurden als Zeitzeugen eine Bäckermeisterin und ein Bäckermeister sowie der ehemalige Handwerkskammerpräsident durch die BG 2 befragt. In der Stellungnahme vom 18.05.2018 heißt es:
„Bei Annahme, dass eine Dichtung in der Ofenklappe vorhanden war und eine Backplatte defekt war, kann von einem Kontakt mit Asbest im Sinne der BK 4105 der BKV ausgegangen werden.“
In der abschließenden Stellungnahme vom 06.03.2019 der BG 2 wird auf die Stellungnahme vom 18.05.2018 verwiesen, in der eine Einwirkungskausalität gegenüber Asbestfasern im Sinne einer BK 4105 der BKV bejaht wurde. Die BG 2 wird nach viermaligen Anträgen der Bevollmächtigten am 28.01.2019 zum Verfahren beigeladen (§ 75 Sozialgerichtgesetz, SGG).
Am 11.03.2019 regt das SG an, eine Anerkenntnis abzugeben. Am 08.04.2019 erklärt sich die beigeladene BG 2 schließlich bereit, das Vorliegen einer BK 4105 BKV anzuerkennen. Die Klägerin (Witwe des Verstorbenen) ist damit nach drei Jahren klaglos gestellt.
Die beigeladene BG 2 gewährte dann eine Verletztenrente, Pflegegeld wegen Hilflosigkeit sowie alle Hinterbliebenenleistungen an die Witwe des Verstorbenen.
Fazit
Das Pleuramesotheliom stellt einen Signaltumor für eine stattgehabte Asbestexposition dar. Deshalb empfehlen die Autoren bei Vorliegen eines Pleuramesothelioms eine Anzeige auf den Verdacht einer Berufskrankheit nach Nr. 4105 der BKV zu erstatten, auch wenn die berufliche Asbestexposition zunächst nicht ersichtlich ist.
Interessenkonflikt: Die Autorinnen und Autoren geben an, dass keine Interessenkonflikte vorliegen.
Literatur
Goldberg M, Luce D: The health impact of nonoccupational exposure to asbestos: what do we know? Eur J Cancer Prev 2009; 18: 489–503. doi:10.1097/CEJ.0b013e32832f9bee (Open Access). PMID: 19617842; PMCID: PMC3499908.
Hajj GNM, Cavarson CH, Pinto CAL, Venturi G, Navarro JR, Lima VCC: Malignant pleural mesothelioma: an update. J Bras Pneumol. 2021 Dec 13;47(6):e20210129. doi:10.36416/1806-3756/e20210129 (Open Access). PMID: 34909922; PMCID: PMC8836658.
Kotschy-Lang N: Asbestbedingtes Stimmlippen- und Lungenkarzinom – primärer Zweittumor? Atemwegs- und Lungenkrankheiten 2022; 48: 328–334.
Kraus T, Teschler H, Baur X et al.: Diagnostik und Begutachtung asbestbedingter Berufskrankheiten. Interdisziplinäre S2k-Leitlinie der Deutschen Gesellschaft für Pneumologie und Beatmungsmedizin e. V. und der Deutschen Gesellschaft für Arbeitsmedizin und Umweltmedizin e. V., 2020.
Lacourt A, Gramond C, Rolland P et al.: Occupational and non-occupational attributable risk of asbestos exposure for malignant pleural mesothelioma. Thorax 2014; 69: 532–539. doi:10.1136/thoraxjnl-2013-203744 (Open Access). Epub 2014 Feb 7. PMID: 24508707.
Stevenson J, Ettinger DS, Wood DE et al.: NCCN Guidelines® Insights: Mesothelioma: Pleural, Version 1.2024. J Natl Compr Canc Netw 2024; 22: 72–81. doi:10.6004/jnccn.2024.0014 (Open Access). PMID: 38503043.
Online-Quellen
Kraus T, Baur X, Teschler H et al. Empfehlung für die Begutachtung asbestbedingter Berufskrankheiten-Falkensteiner Empfehlung. 2011
https://publikationen.dguv.de/widgets/pdf/download/article/2459
DGUV – Deutsche Gesetzliche Unfallversicherung: BK-Report „Faserjahre“, 2013
https://www.dguv.de/ifa/publikationen/reports-download/reports-2013/bk-…
DGUV – Deutsche Gesetzliche Unfallversicherung: Empfehlung für die Begutachtung der Berufskrankheiten der Nummern 1315 (ohne Alveolitis), 4301 und 4302 der Anlage zur Berufskrankheiten-Verordnung (BKV) – Reichenhaller Empfehlung 2024
https://publikationen.dguv.de/widgets/pdf/download/article/1946
 
 Foto: privat
Koautoren und Koautorin
Olaf Lang, Auerbach
Siegbert Schiegl, München
Dr. med. Uta Ochmann, Prof. Dr. med. Dennis Nowak, Institut und Poliklinik für Arbeits-, Sozial- und Umweltmedizin LMU Klinikum, München
 
     
     
  
       
     
     
     
    