Springe auf Hauptinhalt Springe auf Hauptmenü Springe auf SiteSearch
  • Home
  • Alle Artikel zum Thema Kasuistik

Alle Artikel zum Thema Kasuistik


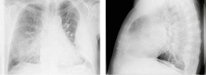
 Abb. 1a,b: 
 Röntgen-Thorax in 2 Ebenen vom 16.01.2017

Kasuistik: Asbestpleuritis

-

Falldarstellung  Asbestbedingte Erkrankungen der Pleura werden häufig nicht oder nicht rechtzeitig erkannt. Sie manifestieren sich in Form von Schwielen und/oder Verkalkungen entweder der viszeralen oder der parietalen Pleura. Nicht selten tritt als Erstsymptom ein einseitiger Pleuraerguss auf. Ein solcher Fall wird hier dargestellt. Heike Berlinghof, Thomas Nauert


Psychische Probleme als Folgen eines Unfalls oder traumatischer Erlebnisse werden anfangs oft heruntergespielt oder dissoziiert, können bei den Betroffenen aber längerfristig Gesundheitsschäden verursachen

Der psychische Primärschaden und die Schwierigkeit seines Nachweises

-

Kasuistik  Die Kausalitätsbeurteilung belastungsreaktiver psychischer Störungen stellt für den Gutachter eine besondere Herausforderung dar. Denn psychische Symptome und Befunde sind meist schwerer objektivierbar als körperliche. Insbesondere gilt das für die Feststellung eines Primärschadens, ohne dessen Nachweis in der gesetzlichen Unfallversicherung nicht von einem Arbeitsunfall gesprochen werden kann. Jedoch lässt sich ein an der Mechanik angelehntes Verständnis von Ursache und Wirkung körperlicher Unfallfolgen nicht so ohne weiteres auf psychische Vorgänge übertragen, wie die in diesem Beitrag aufgeführte Kasuistik deutlich machen soll. Ferdinand Haenel, Guido Flatten und Doris Denis

Aluminose als vermeidbare Berufskrankheit: Eine Kasuistik

-

Es wird über einen Patienten mit einer radiologisch
und klinisch schwergradigen interstitiellen
Lungenfibrose berichtet, die nach
einer mehrjährigen Tätigkeit unter Einsatz
des thermischen Aluminiumspritzens aufgetreten
ist. Die Erkrankung hätte wahrscheinlich
verhindert werden können, wenn die erforderlichen
arbeitstechnischen und arbeitsmedizinischen
Maßnahmen durchgeführt
worden wären.

Lyme-Borreliose bei beruflich zeckenexponierten Personen Eine arbeitsmedizinisch-unfallversicherungsrechtliche Bewertung anhand einer Kasuistik

-

Ein 38-jähriger Forstwirt, der im Rahmen des BK-Verfahrens begutachtet werden sollte, war im Spätsommer unter dem klinischen Bild eines akuten grippalen Infektes erkrankt. Aufgrund einer beruflichen Zeckenstichanamnese in plausiblem zeitlichen Zusammenhang mit der Erkrankung und ein er auffälligen Borrelien-Serologie war unter dem Verdacht einer “Allgemeinsymptomatik bei Borreliose-Infektion” eine Berufskrankheiten-Anzeige (Nr. 3102 der Anlage 1 zur BKV: “Von Tieren auf M enschen übertragbare Erkrankungen ”) e rstattet worden. Anhand dieses Fallberichts sollen die Besonderheiten bei der Beurteilung einer beruflich bedingten Lyme-Borreliose sowohl hinsichtlich der diagnostischen Einordnung als auch der Zusammenhangsbegutachtung näher beleuchtet werden.

Die sozialmedizinische Bedeutung von Riechstörungen am Beispiel einer Kasuistik

-

Die Prävalenz von Riechstörungen in der Allgemeinbevölkerung wird auf ca. 1 % geschätzt, ist aber bei alten Menschen deutlich höher. Wesentliche Ursachen sind virale Infekte, andere akute und chronische Erkrankungen der Nase und Nasennebenhöhlen, Traumata, verschiedene Grundkrankheiten, Medikamente und Toxine. Bei einer Anosmie ist die Wahrnehmung von riechbaren Gefahrstoffen aufgehoben. Zu den möglichen Auswirkungen gehören auch eine verminderte Lebensfreude, in Einzelfällen sogar reaktive Depressionen, Störungen zwischenmenschlicher Beziehungen, Fehlernährung und berufliche Nachteile. Einige dieser Aspekte werden am Beispiel einer Kasuistik dargestellt. Die primäre Prävention besteht in der Vermeidung von Noxen, insbesondere des Zigarettenrauchens. Die sekundäre Prävention beinhaltet die Früherkennung von Riechstörungen einschließlich der Therapie behandelbarer Ursachen wie z. B. von einer chronisch polypösen Sinusitis. Allerdings gibt es derzeit keine arbeitsmedizinischen Vorsorgeuntersuchungen in Deutschland, die bei Einwirkung entsprechender Noxen durchgeführt werden müssten. Im Rahmen der tertiären Prävention müssen die Patienten vom behandelnden Arzt auch über die mit einer Anosmie einhergehenden Risiken aufgeklärt werden und Ratschläge für die Bewältigung des Alltagslebens einschließlich der Ernährung erhalten. Die Minderung der Erwerbsfähigkeit (MdE) bei einer Anosmie beträgt derzeit im sozialen Entschädigungsrecht 15 % und im Unfallversicherungsrecht 10 %, wenn keine besondere berufliche Betroffenheit vorliegt. Die Autoren schlagen vor, die MdE für eine Anosmie auf in der Regel 20 % anzuheben.